Is A 3D Mammogram Better Than A Regular Mammogram?
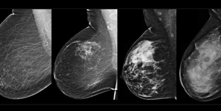
Guide: Breast tomosynthesis, or 3D mammography, is a breast imaging procedure in which an X-ray moves in an arc over the breasts as the imaging specialist compresses the breasts to… Read More »Is A 3D Mammogram Better Than A Regular Mammogram?









